IPRは、どのタイミングで行うの?
みんなの矯正
2026.03.30
IPRって…
「いつするの?」
「1枚目のタイミングで行うんですか?」
このような質問がよくあります。
今回は、この疑問にお答えいたします。

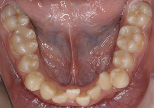
このような患者様の場合ですが、前歯部をIPRする必要があることはお分かりいただけると思います。
なぜなら、「叢生(歯の重なり)」がキツく、これでは歯を並べる事ができないから。
ですが、このような場合、いきなりIPRするのではなく…

これらの方法で「ある程度、叢生を改善してから、IPR」
このようにする必要があります
歯を並べるためのスペース作成にはいくつかの方法があります。
①抜歯
②側方拡大
③遠心移動
④IPR

いきなり1枚目でIPRをすると…
①コンタクトポイントでない部分を削るリスク。
②歯が、ギザギザになってしまうかも…
③そもそも、IPR処置が行いにくい状況…
このようになってしまいます。
ですから、可能性な限り叢生を改善してからIPRすることが望ましいです
今回は、「どのタイミングでIPRをすべきなのか?」についてお話させて頂きました。
池袋の歯医者さんみんなの矯正歯科・こども歯科クリニック
〒171-0014 東京都豊島区池袋2丁目2−1 9階
電話番号: 03-6907-3967