前歯が折れた!その日のうちに見た目と機能を回復させる「即日修復」
2026.01.27
「転んで前歯をぶつけてしまった」 「食事中に突然前歯が欠けた」
前歯が折れてしまった時、鏡を見て絶望的な気持ちになる方は少なくありません。痛みがある場合はなおさらです。さらに、多くの歯科医院では「今日は応急処置だけ」「型取りをして次回以降に被せ物」と言われ、見た目が悪い状態で数日間過ごさなければならないこともあります。
しかし、当院では**「1日(即日)で」**折れた前歯を元の形に修復することが可能です。
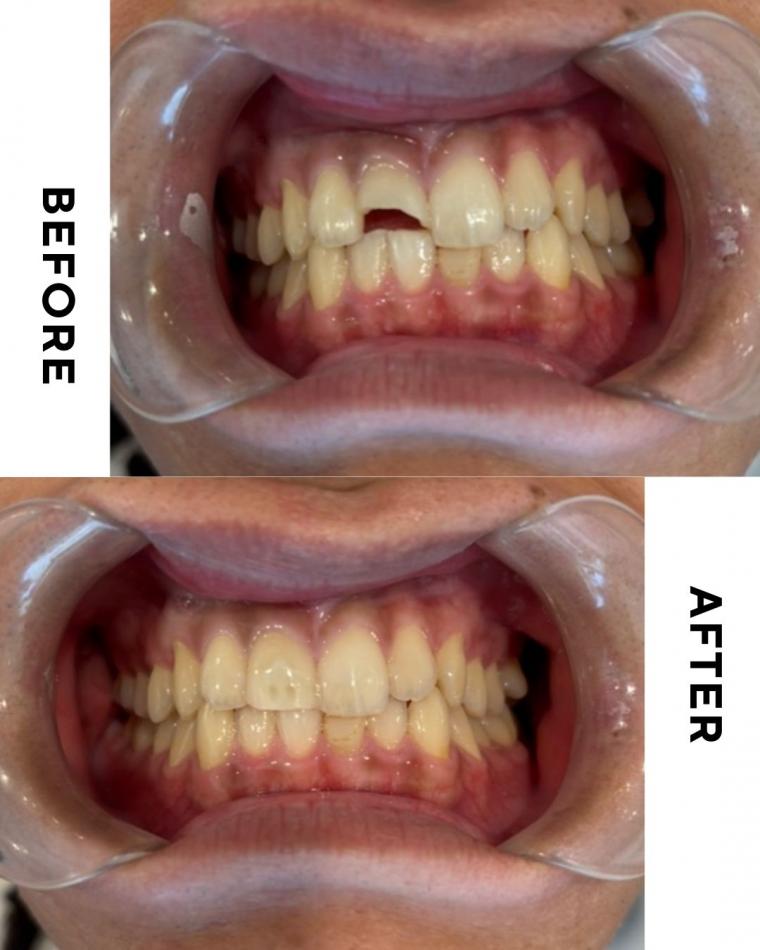
今回の症例:120分で完了した前歯の修復
今回ご来院された患者様も、前歯が大きく折れてしまい、見た目の修復と痛みの解消を強く希望されていました。
お悩み: 前歯が折れて痛む、見た目が困る、すぐに治したい。
治療内容: 即日修復(ダイレクトボンディング)
所要時間: 約120分

【Before】 画像の上段にある通り、前歯の中心部分が大きく欠損しており、神経への影響や審美的な問題が顕著でした。
【After】 治療後(画像下段)をご覧ください。わずか120分後には、どこが折れていたのか分からないほど自然な形と色合いを再現しています。
なぜ1日で治せるのか?
通常、銀歯やセラミックの被せ物を作るには外部の技工所へ依頼するため、1週間程度の期間を要します。
当院では、高い技術を要する高精度な歯科用樹脂(コンポジットレジン)を用いたダイレクトボンディングや、院内での即日対応を可能にするセレック治療のフローを整えています。これにより、**「その日のうちに笑顔で帰宅できる」**治療を実現しています。
このような方へ
明日、大切な会議やイベントがある
仮歯のまま過ごすのが不安、恥ずかしい
何度も通院する時間が取れない
前歯が折れてしまい、どこに相談していいか分からない、今すぐ治したいという方は、ぜひ当院にご相談ください。あなたの不安を、わずか数時間で安心に変えるお手伝いをいたします。
医院名:池袋の歯医者さんみんなの矯正歯科・こども歯科クリニック
住所:〒171-0014 東京都豊島区池袋2丁目2−1 ウィックスビル 9階
電話番号:03-6907-3967